What is the Difference Between Plaque and Calculus?
Contents
- What Are the Difference Between Tartar And Calculus?
- What Happens If Calculus Is Not Removed?
- Why Does Calculus Form on Teeth?
- How to Prevent Plaque Accumulation
- 1. Maintain proper dental hygiene:
- 2. Hire a professional cleaner:
- 3. Eat a tooth-friendly diet:
- 4. Avoid tobacco:
- Are Dental Plaques Turned into Calculus?
- Final Thoughts
When we first wake up in the morning, we notice something sticky on the surface of our teeth. Last night's gathering was a lot of fun. The strawberry cake was excellent.
The sangria was really wonderful. Oops! Last night, we forgot to brush our teeth! What is that sticky, clear coating on my teeth? This biofilm is referred to as dental plaque.

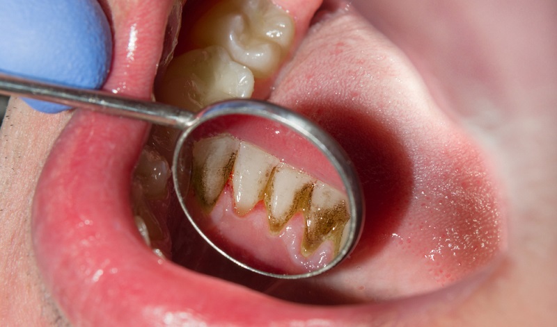
Dental tartar, commonly known as calculus, affects 68% of adults. Dental tartar is a hard, calcified deposit that grows on the teeth and coats the gums.
If plaque is not eliminated regularly, such as by brushing and flossing, it hardens and develops tartar within 24 to 72 hours.
Tartar buildup can make brushing and flossing difficult, resulting in cavities, gum disease, and poor breath. Tartar can only be removed by a dental specialist because it is so tightly adhered to the tooth enamel.
If you've ever been perplexed by this question, you're not alone! Most of our patients believe they have a lot of "plaque buildup," but they are virtually always concerned about the calculus on their lower front teeth!
So, what is the distinction between plaque and calculus, and why are they harmful to your teeth and gums? This article will go over everything plaque and calculus and what you can do to keep them under control!
What Are the Difference Between Tartar And Calculus?
Important distinctions
There are a few key differences to know when comparing plaque, tartar, and calculus:
Plaque:
- The first step is to place a plaque.
- Plaque, if left untreated, can harden into calculus or tartar.
- Plaque is a white, sticky film.
- Plaque can be removed and prevented by practising good dental hygiene.
Calculus:
- Calculus is a firm, hardened plaque that appears yellowish and darker.
- Professional cleaning is the only established method for removing calculus.
What Happens If Calculus Is Not Removed?
A thick layer of calculus on your teeth can be very evident. A dental calculus bridge can also result in the following conditions:
1. Halitosis (Bad Breath)
Plaque and tartar buildup can also cause your breath to smell. This is referred to as halitosis.
2. Gingivitis
Your gums may get red or become irritated. You may initially detect it if you notice any bleeding when brushing or flossing your teeth.
If left untreated, it can lead to periodontitis, a more serious form of gum disease.
3. Gums receding
Periodontal disease is also characterized by receding gums. Your gums may begin to recede from your teeth, exposing more of them and allowing bacteria to enter the spaces between your teeth and gum.
4. Cavities
Tartar that forms on your teeth can protect microorganisms from your toothbrush.
Plaque and tartar can also cause tiny holes in your teeth's enamel, allowing bacteria and acid to leak into the tooth and cause cavities to form.
5. Tooth decay
If dental calculus is not addressed, it can lead to gum disease, which can lead to the loss of one or more teeth.
Why Does Calculus Form on Teeth?
Even if you take good care of your teeth, bacteria in your mouth interact with sugary or starchy food when you consume it.
As a result, dental plaque, a sticky film that coats your teeth, gums, and dental restorations, forms. Plaque is home to acid-producing bacteria that can erode tooth enamel and cause cavities.
If plaque is not removed regularly, it hardens into tartar. Tartar is exceedingly harsh and porous, and it can only be removed using professional dental equipment. If left untreated, it can lead to gum recession and gum disease.
Although everyone develops plaque, you are more likely to develop it if you:
- Consume sugary foods (such as sweets and cakes).
- Consume carbohydrate-rich foods (for example, bread, spaghetti, potato chips, and so on).
- Have a dry mouth owing to a lack of water or the use of certain drugs
- Tobacco smoking or chewing
There is no way to totally avoid plaque, but you can keep it at bay by brushing and flossing your teeth regularly.
How to Prevent Plaque Accumulation
After learning about plaque, you're probably eager to do everything possible to keep it from forming.
Here are some useful practices for reducing plaque buildup:
1. Maintain proper dental hygiene:
Brushing your teeth twice a day is recommended by the Centres for Disease Control and Prevention (CDC). You should also floss once a day before bedtime. Use a non-alcoholic fluoride mouthwash for further advantages.
2. Hire a professional cleaner:
Professional dentists use the greatest tooth-cleaning equipment to remove plaque from your mouth. Professional cleanings and checkups are performed twice a year at 209 NYC Dental.
3. Eat a tooth-friendly diet:
What you consume has an impact on the health of your teeth.
Reduce your intake of carbohydrates and sugars, as they are two of the primary causes of plaque buildup.
4. Avoid tobacco:
According to the CDC, there is a link between smoking and dental health. To keep your teeth and gums as healthy as possible, avoid smoking.
Are Dental Plaques Turned into Calculus?
Plaque is a white, sticky substance that adheres to the surface of the teeth as a result of improper cleaning.
It begins to form in your mouth four hours after you eat; consequently, dentists recommend brushing your teeth half an hour after each meal.
However, there is no need to be concerned about its effects on your teeth because it is easily eliminated with good and consistent tooth cleaning and flossing practices.
When plaque accumulates on the surface of the teeth as a result of insufficient cleaning, it transforms into calcified deposits known as tartar (also known as calculus).
Tartar, in contrast to plaque, is a non-sticky, hard porous material that quickly binds to bacteria.
Final Thoughts
Calculus is made up of mineral deposits from saliva in the mouth. It is extremely damaging to the general health of your teeth, gums, and mouth.
This is thought to be the core cause of major dental issues such as cavities, gingivitis, and tooth loss.
There are no simple home treatments for removing calculus; instead, see your nearest dentist, who can give you a better dental solution using the most up-to-date current technology and techniques.
Inside your mouth, billions of tiny germs colonize your tongue, teeth, and under your gums! Your mouth is dark and moist, making it an ideal breeding site for some of these bothersome microorganisms.
If these germs are allowed to flourish, they will produce plaque and calculus. This is why dental visits along with good oral care keep such dreadful diseases at bay.
