What is an Underbite Teeth and How to Fix It?
Contents
- What is an Underbite?
- Causes of an Underbite
- Is an Underbite Bad?
- Are Underbites Genetic?
- Can Wisdom Teeth Cause Underbite?
- Celebrities with Underbite
- How to Fix An Underbite?
- Effects of an Underbite on Your Health
- Underbite Before and After Braces
- Overbite vs Underbite: What is the Difference?
- Frequently Asked Questions

You’ve probably heard of the term ‘underbite’ thrown around, but what exactly is it, and how can one address it?
In this informative blog, we’ll break down everything you need to know about underbites, from their causes to various treatment options.
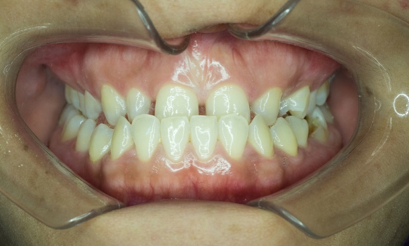
What is an Underbite?
An underbite is a jaw alignment issue when the bottom teeth stick out further than the top teeth.
Underbites, also known as a Class III malocclusion or "reverse-bite," are less prevalent than protrusive bites, which are more commonly known as "overbites" and afflict just 5% to 10% of the population.
They range in severity, from mild examples that are hardly evident to severe cases where the lower jaw protrudes considerably beyond the upper jaw.
Causes of an Underbite
1. Childhood habits for example:
- Thumb sucking
- Pushing teeth with tongue
- Using a pacifier until the age of 3
2. Genetics: Genetics decides the shape of your jaw and teeth, which is why an underbite can be hereditary.
3. Injury: In case of a severe facial injury, can cause major permanent damage to the jawbones.
4. Tumours: Very rare, but tumours in the mouth or in the jawbone can cause jaw protrusion.
Is an Underbite Bad?
A mild underbite can be tolerated, but more severe occurrences might lead to more problematic issues.
These include issues with speech, biting and chewing, jaw and mouth pain, and excessive tooth wear.
Some underbites can weaken tooth enamel and increase the risk of front teeth breaking or chipping.
So, what is the good news? Underbites are often corrected without surgery thanks to the great effectiveness of orthodontic treatment.
Are Underbites Genetic?
Genetics can indeed play a role in the development of underbites.
If one or both of your parents have an underbite, there's a higher chance that you may inherit the condition.
However, it's important to note that genetics is just one piece of the puzzle.
Can Wisdom Teeth Cause Underbite?
Wisdom teeth, also known as third molars, can sometimes exert pressure on the surrounding teeth as they emerge.
In rare cases, this pressure can contribute to the development of an underbite.
Celebrities with Underbite
Several well-known celebs have dealt with underbites and sought treatment. One notable Hollywood celebrity is Tom Cruise.
He had an underbite in his early years and chose to undergo orthodontic treatment to correct it. In Bollywood, Shilpa Shetty and Aishwarya Rai Bachchan are other examples.
They had noticeable underbites when they entered the industry but later underwent procedures to correct it and significantly improved their facial symmetry.
These celebrities serve as an inspiring example of how orthodontic treatments can successfully address underbite issues and enhance one’s facial aesthetics and oral health.
Don't hesitate to seek professional advice to explore treatment options.
How to Fix An Underbite?
There are various orthodontic solutions available. Orthodontists use a combination of braces, aligners and other appliances to gradually move the teeth and jaw into the correct alignment.
1. Orthodontic Treatment
The most typical way for treating an underbite is orthodontic treatment. In this type of therapy, the teeth are progressively moved into their correct positions using braces, aligners, or other dental appliances.
Depending on the severity of the malocclusion, the course of treatment can last anywhere between one and three years.
Elastics is another tool the orthodontist may use during orthodontic therapy to assist in realigning the jaws.
These elastics are worn for a specific amount of time each day and are fastened to brackets or hooks on the teeth.
2. Orthognathic Surgery
Sometimes a severe class III malocclusion cannot be resolved with orthodontic treatment alone. Orthognathic surgery might be required in these circumstances.
To improve the bite and facial appearance, orthognathic surgery entails shifting the upper and/or lower jaw into the proper position.
An oral and maxillofacial surgeon often performs the procedure in collaboration with an orthodontist.
The length of the recovery period depends on how extensive the surgery was, but most patients need to take several weeks off from work or school to fully recover.
3. Functional Appliances
Removable dental appliances known as functional appliances are used to treat class III malocclusion in kids and teenagers.
By gently pressing on the jaws, these devices work to promote healthy growth and development.
The Herbst appliance and the Twin Block appliance are the two functional appliances that are most frequently utilised for fixing underbites.
Metal rods that are affixed to the top and lower molars make up the Herbst appliance. Together, these rods push the lower jaw forward, aiding in the treatment of an underbite.
A pair of removable gadgets called the Twin Block appliance fits together to promote healthy jaw development.
4. Facemask Therapy
Another therapeutic option for kids with class III malocclusion is facemask therapy.
A specific mask that is affixed to the headpiece and worn for a specific amount of time each day is required for this form of treatment.
The mask helps to correct an underbite by pulling the upper jaw forward. Facemask therapy is frequently combined with other orthodontic procedures like braces or useful gadgets.
Treatment normally lasts between one and two years, depending on the severity of the malocclusion.
5. Mini implants
Mini-implants are tiny screws that are inserted into the jawbone to act as an anchor for braces.
Mini-implants can be utilized to help advance the upper jaw and treat an underbite in cases with class III malocclusion.
Mini-implants are frequently combined with other orthodontic procedures, including braces or useful gadgets.
Depending on how severe the malocclusion is, the course of treatment can last anywhere between one and three years.
6. Tooth Reshaping
Dental cosmetic surgery may be able to treat some individuals. To make sure that the upper jaw closes over the lower jaw, this treatment for type 3 malocclusion entails modifying the lower teeth or placing veneers.
Although cosmetic therapy has many aesthetic benefits and can sometimes improve jaw function, it is not always successful for people who have a large underbite.
Effects of an Underbite on Your Health
1. Temporomandibular Joint Disorder (TMD)
- Your temporomandibular joint (TMJ) may become inflamed as a result of an underbite, leading to temporomandibular joint disorder (TMD).
- Your skull and jaw are connected by a hinge called a TMJ. However, an underbite can cause a TMD by immobilising your TMJ.
- When you try to move it, you can hear popping noises, which will cause agonising agony.
2. Chronic Bad Breath (halitosis)
- Mouth Breathing- An underbite might be a big contributing factor if you snore loudly at night or breathe through your mouth.
- Sleep Apnea- When you have sleep apnea, your breathing stops several times throughout the night, making it difficult for you to get a good night's rest. This causes fatigue and dullness all day long.
Underbite Before and After Braces
Braces are the most common orthodontic treatment used to correct various dental issues, including underbites.
1. Before braces
- Before getting braces for an underbite, a person typically has misaligned teeth and jaws.
- The lower teeth may appear to jut out in front of the upper teeth, affecting both the appearance and functionality of the smile.
2. After braces
- Braces work step by step by applying continuous pressure on the teeth, gradually moving them into their correct positions.
- In the case of an underbite, braces will aim to bring the lower teeth back. This process can take several months to a few years, depending on the severity. After braces treatment, the patient should have a more balanced bite.
Overbite vs Underbite: What is the Difference?
- An overbite and underbite are 2 common dental misalignment issues that affect the alignment of the upper and lower teeth in opposite ways.
- An overbite occurs when the upper front teeth overlap the lower front teeth excessively.
- Conversely, an underbite happens when the lower front teeth protrude further forward than the upper front teeth, resulting in a ‘bulldog-like’ appearance.
- An underbite is a dental issue that can affect not only your self-esteem but also your quality of life.
- It is possible to treat this condition, whether it be mild or severe. Visit a trusted orthodontist to assess your condition and determine your treatment plan.
Frequently Asked Questions
Can wisdom teeth cause underbite?
Third molars, or wisdom teeth, usually erupt in late adolescence or early adulthood.
While the development of wisdom teeth does not cause an underbite directly, it can occasionally result in dental crowding or shifting of the other teeth in the mouth.
In some situations, wisdom teeth pushing on neighbouring teeth can cause misalignment problems, including underbites.
Can you fix an underbite?
Yes, depending on how severe the underbite is, it can frequently be addressed using orthodontic and/or surgical procedures.
To shift the teeth into their right locations, orthodontic options often entail braces or other dental tools.
Orthognathic surgery to realign the jaw may be coupled with orthodontic treatment in more severe circumstances.
Can braces fix underbite without surgery?
Without the need for surgery, mild to moderate underbites can frequently be corrected using braces.
To better align the upper and lower jaws, a method of progressive tooth movement is used. However, the degree of the underbite affects how well non-surgical braces work to fix it.
To get the desired outcomes in severe situations, surgery may still be needed, such as orthognathic surgery.
It's crucial to speak with an orthodontist who can evaluate your unique circumstances and suggest the best course of action.
Can dentures correct an underbite?
The main purpose of dentures is to replace missing teeth and improve oral appearance and function.
To rectify dental misalignments like underbites, they are not used frequently. Although dentures can be made to fit a person's specific jaw alignment and bite, they cannot actively treat an underbite.
Can you live with an underbite?
Yes, it is possible to live with an underbite, but depending on how severe the condition is, it may or may not have an effect on your everyday life.
Mild underbites could not have a noticeable impact on oral health or appearance, therefore some people decide not to seek treatment.
However, more severe underbites might affect your ability to eat, speak, and maintain good oral health. Untreated underbites may also get worse over time.